Medical Pharmacology Chapter 35  Antibacterial Drugs

Section Table of Contents

Site Table of Contents

Previous Page

Next Page

  • Second Generation Cephalosporins:  Cefuroxime
    Parenteral Administration

    • Therapeutic Uses

       

    • Cefuroxime: Therapeutic Uses (Clinical Applications) (Parenteral Administration)

    • Cefuroxime: Clinical Uses

       

      • Overview2,3,4  

        • Cefuroxime holds FDA approval for multiple infection sites, including lower respiratory tract infections caused by:

          • Streptococcus pneumoniae

          • Staphylococcus aureus (methicillin-sensitive strains)

          • Haemophilus influenzae, and

          • Klebsiella species.

        • Cefuroxime is similarly indicated for:

          • Urinary tract infections

          • Skin and soft tissue infections

          • Septicemia,

          • Acute bacterial otitis media

          •  Acute exacerbations of chronic bronchitis.

        • For community-acquired pneumonia (CAP), the Infectious Diseases Society of America (IDSA) and American Thoracic Society (ATS) endorse cefuroxime 500 mg twice daily as appropriate empiric therapy for outpatients with comorbidities such as chronic heart, lung, or renal disease, diabetes mellitus, or malignancy.

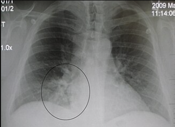
      • Lower Respiratory Tract Infections (Parenteral Administration): Cefuroxime (IV/IM) is indicated for community-acquired pneumonia and other lower respiratory infections caused by susceptible bacteria. (Parenteral Administration)

        • AP Chest X-ray showing right lower lobe pneumonia
        • Cefuroxime is effective against S. pneumoniae, H. influenzae (including β-lactamase-producing strains), Staphylococcus aureus (MSSA), Streptococcus pyogenes, and Klebsiella in the lungs.2,5,6 

          • The Infectious Diseases Society of America (IDSA) and American Thoracic Society have endorsed cefuroxime as an option for hospitalized community-acquired pneumonia.

            • In practice, IV cefuroxime for pneumonia is often paired with a macrolide to cover atypical pathogens, or a respiratory fluoroquinolone might be used instead; however, cefuroxime is a reasonable β-lactam choice for many typical pneumonia cases.

          • Cefuroxime is also used for bacterial bronchitis or pneumonia in patients with chronic lung disease when those above organisms are suspected.2,5

      • Upper Respiratory Tract Infections (Parenteral Administration): Although first-line therapy for many ENT infections is often amoxicillin or amoxicillin-clavulanate, cefuroxime is indicated as an alternative in certain situations.2,7,8

        • Acute bacterial maxillary sinusitis can be treated with cefuroxime in adults and adolescents (≥13 years old) when due to susceptible H. influenzae or S. pneumoniae.

          • Acute otitis media (AOM) is also an indication: cefuroxime axetil is effective for middle ear infections caused by H. influenzae, S. pneumoniae, S. pyogenes, or M. catarrhalis, including β-lactamase–producing strains.

        • In pediatric practice, cefuroxime is often used for recurrent or persistent Acute Otitis Media (AOM), especially if the pathogen might be amoxicillin-resistant.

      • Skin and Soft Tissue Infections (Parenteral Administration)2,9,10

        • Cefuroxime is indicated for skin and skin-structure infections (SSTIs) such as cellulitis, wound infections, or impetigo, caused by susceptible strains of Staphylococcus aureus (MSSA, β-lactamase positive or negative) and Streptococcus pyogenes.

        • Cefuroxime covers some Gram-negative causes of skin infections (e.g. certain E. coli or Klebsiella in wound infections).

        • Uncomplicated skin and soft tissue infections (SSTIs) in adults and adolescents (≥13) can be treated with oral cefuroxime axetil, whereas more serious SSTIs may require IV cefuroxime.

        • Oral cefuroxime serves as a useful step-down therapy after IV antibiotics for skin infections, or as an alternative for patients who cannot take penicillins.

        • Cefuroxime is also effective for impetigo (a superficial skin infection) in children.

          • An oral suspension course can treat impetigo caused by Staphylococcus or Streptococcus.2

      • Urinary Tract Infections (Parenteral Administration)2,11,12

        • Cefuroxime is indicated for uncomplicated UTIs (e.g. cystitis) caused by susceptible organisms, particularly Escherichia coli and Klebsiella pneumoniae.

          • While first-line treatments for simple UTIs are often trimethoprim-sulfamethoxazole or nitrofurantoin, cefuroxime is an option especially if the pathogen is known to be susceptible.

          • Cefuroxime achieves high concentrations in urine due to renal excretion.

            • Parenteral cefuroxime can also treat pyelonephritis (kidney infections) caused by these bacteria, though in severe cases a broader-spectrum IV antibiotic might be chosen.13,14

      • Septicemia (Parenteral Administration)2,15

        • IV cefuroxime is approved for treating septicemia (bacteremia) caused by susceptible organisms.

          • Cefuroxime for this indication includes sepsis due to:

            • Staphylococcus aureus (MSSA)

            • Streptococcus pneumoniae

            • H. influenzae

            • E. coli

            • Klebsiella and others if the isolate is sensitive to cefuroxime.

          • Management of sepsis depends on the source of infection and local resistance patterns.

            • For example, cefuroxime would be appropriate for sepsis arising from a community-acquired pneumonia, for example, but would not be adequate for Pseudomonas sepsis.

            • For life-threatening infections like sepsis or endocarditis, third-generation cephalosporins or other agents might be more frequently used unless cefuroxime’s spectrum is a perfect match for the identified pathogen.

      • Meningitis (Parenteral Administration)2,16,17  

        Bacterial Meningitis
        • Cefuroxime is one of the few second-generation cephalosporins that achieves therapeutic levels in cerebrospinal fluid when meninges are inflamed.

          • Cefuroxime administration is indicated for bacterial meningitis caused by susceptible strains of Neisseria meningitidis, Streptococcus pneumoniae, Haemophilus influenzae (including ampicillin-resistant strains), or Staphylococcus aureus (MSSA).2 

          • Prior to the widespread use of third-generation cephalosporins, cefuroxime was used in meningitis treatment.

            • H. influenzae meningitis and meningococcal meningitis can be treated with IV cefuroxime.

              • Current guidelines generally favor ceftriaxone or cefotaxime (third-gen cephalosporins) for empiric meningitis therapy because of their enhanced potency and CNS penetration.

              • Cefuroxime may still be employed in penicillin-allergic patients (without anaphylaxis) or in targeted therapy when the organism is known to be cefuroxime-susceptible and third-generation cephalosporins are contraindicated.

                • Cefuroxime is not effective against Listeria monocytogenes, an important cause of meningitis in neonates and the elderly, so it would never be monotherapy in those groups.2

      • Gonococcal Infections (Parenteral Administration)2,18,19  

        • Cefuroxime has activity against Neisseria gonorrhoeae, including penicillinase-producing gonococcal strains.

          • Cefuroxime was historically used for uncomplicated gonorrhea.

            • The FDA-approved regimen for gonorrhea (per older labeling) was a single IM dose of 1.5 g cefuroxime (usually split into two 750 mg injections given simultaneously at two sites), combined with oral probenecid to prolong levels.

            • Given rising resistance, ceftriaxone has become the recommended treatment for gonorrhea worldwide, and cefuroxime is no longer a preferred agent.

              • CDC guidelines do not list cefuroxime as first-line for gonorrhea today.

                • In disseminated gonococcal infections (e.g. gonococcal arthritis), ceftriaxone is again preferred over cefuroxime.

      • Bone and Joint Infections (Parenteral Administration)2,3,20

        • Cefuroxime may be appropriate for infections of bones and joints caused by susceptible organisms, primarily MSSA.

          • Cefuroxime could be used for septic arthritis or osteomyelitis due to MSSA, as an alternative to oxacillin/cefazolin.

          • Usually first-generation cephalosporins (like cefazolin) or antistaphylococcal penicillins are often favored for MSSA bone/joint infections.

            • Cefuroxime administration is associated with good bone penetration making it useful if those first-line agents cannot be used (e.g. due to mild penicillin allergy).

            • Cefuroxime may also be chosen for polymicrobial diabetic foot infections in combination with anaerobic coverage, although for broad coverage other regimens are usually selected.21

February, 2026

Section Table of Contents

Site Table of Contents

 
References
  1. MacDougall C Chapter 58 Cell Envelope Disruptors: In Goodman & Gilman's The Pharmacological Basis of Therapeutics (Brunton LL Knollman BC eds) McGraw Hill LLC (2023).

  2. Omole A Awosika A Patel P Cefuroxime. StatPearls. National Library of Medicine. Last update: January 11, 2024. https://www.ncbi.nlm.nih.gov/books/NBK599503/#article-159953.r44#

  3. Sota C Avdic E  Cefuroxime. John's Hopkins ABX Guide (abstract). Last updated : March 16, 2025. https://www.hopkinsguides.com/hopkins/view/Johns_Hopkins_ABX_Guide/540105/all/Cefuroxime

  4. Metlay J Waterer G Long A Anzueto A Brozek J Crorthers K Cooley L EDean N Fine M Flanders S Griffin M Metersky M Musher D Restrepo M Whitney (On behalf of the American Thoracic Society and Infectious Diseases Society of America). Diagnosis and Treatment of Adults with Community-acquired Pneumonia. "This Official Clinical Practice Guidelines was approved by the American Thoracic Society May 2019 and the Infectious Diseases Society of America August 2019. https://www.idsociety.org/globalassets/idsa/practice-guidelines/community-acquired-pneumonia-in-adults/executive_summary.pdf

  5. Greuenberg K Kaip in Current Medical Diagnosis & Treatment 2026. Cephalosporins https://accessmedicine.mhmedical.com/content.aspx?bookid=3594&sectionid=299350022#1216845500

  6. University of Washington Med Chem 561 Instructors. Cephalosporins. https://courses.washington.edu/medch561/pdf_text/561p2012_klCephalosporins3.pdf

  7. Griffiths G VandenBurg M Wight L Gudgeon A Kelsey M Efficacy and tolerability the cefuroxime axetil in patients with upper respiratory tract infections. Curr Med Res Opin. 1987;10(8): 555-561. https://pubmed.ncbi.nlm.nih.gov/3677790/

  8. Dellamonica P Cefuroxime axetil. International Journal of Antimicrobial Agents. Volume 4, Issue 1, March 1994, 23-36. https://www.sciencedirect.com/science/article/abs/pii/09248579949006 

  9. Hugo H Dornbusch K Sterner  G Cefuroxime in soft tissue infections and septicemia. Scand J Infect Dis. 1980;12(3): 227-230. https://pubmed.ncbi.nlm.nih.gov/7433923/

  10. IDSA 2014 Guidelines for the Diagnosis and Management of Skin in Tissue Infections. July 15, 2014. https://www.idsociety.org/practice-guideline/skin-and-soft-tissue-infections/

  11. Leigh D Joy G Tait S Harris K Walsh B Treatment of acute uncomplicated urinary tract infections with single daily doses of cefuroxime axetil. J Antimicrob Chemother. 1989 February;23(2): 267-273. https://pubmed.ncbi.nlm.nih.gov/2708184/

  12. Cefuroxime. MEDLINEplus. National Library Medicine. Last Revised: July 20, 2024. https://medlineplus.gov/druginfo/meds/a601206.html

  13. Everard C Schampaert A Doyen L Verbelen V Marot J0C Wieers G. Intravenous cefuroxime is a first-line treatment for women hospitalized for pyelonephritis. JAC Antimicrob Resist. 2024 May 6;6(3). https://pmc.ncbi.nlm.nih.gov/articles/PMC11073747/

  14. Chang U Kim H Wie S-H Comparison of Second-and Third-Generation Cephalosporin as Initial Therapy for Women with Community-Onset Uncomplicated Acute Pyelonephritis. Infectious Diseases: Yonsei Medical Journal 2015; 56(5): 1266-1273. https://synapse.koreamed.org/articles/1031611

  15. Cefuroxime Axetil Oral. MedCentral (revisions: 2025). https://www.medcentral.com/drugs/monograph/3779-384044/cefuroxime-axetil-oral

  16. Schaad U Suter S Gianella-Borradori A Pfenninger J Auckentaler R Bernath O Cheseaux J Wedgwood J A Comparison of Ceftriaxone and Cefuroxime for the Treatment of Bacterial Meningitis in Children. N Engl J Med 1919;322:141-147. https://www.nejm.org/doi/full/10.1056/NEJM199001183220301

  17. Norrby S Role of cephalosporins in the treatment of bacterial meningitis in adults. Overview with special emphasis on ceftazidime. The American Journal of Medicine. Volume 79, Issue 2, Supplement 1, 56-61, August 9, 1985. https://www.amjmed.com/article/0002-9343(85)90262-1/abstract

  18. Sexually Transmitted Infections Treatment Guidelines, 2021. CDC. Gonococcal Infections Among Adolescents and Adults. https://www.cdc.gov/std/treatment-guidelines/gonorrhea-adults.htm

  19. Barbee LA St Cyr S Management of Neisseria gonorrhoeae in the United States: Summary of Evidence From the Development of the 2020 Gonorrhea Treatment Recommendations and the 2021 Centers for Disease Control and Prevention of Sexually Transmitted Infection Treatment Guidelines. Clinical infectious diseases: an official publication of the Infectious Diseases Society of America. 2022 April 13:74(supplement 2): S95-S111. https://pubmed.ncbi.nlm.nih.gov/35416971/

  20. de Waard G Veltman W van Oldenrijk J Bos K Koch B General Orthopedics: setting the stage for tailoring cefuroxime dosing as prophylaxis and treatment of periprosthetic joint infections using pharmacokinetic modeling. The European Bollom and Joint Infection Society Meeting, Barcelona, Spain, September 26-28, 2024. https://boneandjoint.org.uk/Article/10.1302/1358-992X.2024.19.081

  21. Senneville E Albalawi Z svan Asten S Abbas Z Allison G Aragon-Sanchez J Embil J Lavery L Alhasan O Uckay I Urbancic-Rovan V Xu Z-R Peters E IWGDF/IDSA IWGDF/IDSA Diagnosis and Treatment of Diabetes-related Foot Infections.  Clinical Infectious Diseases. https://academic.oup.com/cid/advance-article/doi/10.1093/cid/ciad527/7287196

 

This Web-based pharmacology and disease-based integrated teaching site is based on reference materials, that are believed reliable and consistent with standards accepted at the time of development. Possibility of human error and on-going research and development in medical sciences do not allow assurance that the information contained herein is in every respect accurate or complete. Users should confirm the information contained herein with other sources. This site should only be considered as a teaching aid for undergraduate and graduate biomedical education and is intended only as a teaching site. Information contained here should not be used for patient management and should not be used as a substitute for consultation with practicing medical professionals. Users of this website should check the product information sheet included in the package of any drug they plan to administer to be certain that the information contained in this site is accurate and that changes have not been made in the recommended dose or in the contraindications for administration.  Advertisements that appear on this site are not reviewed for content accuracy and it is the responsibility of users of this website to make individual assessments concerning this information.  Medical or other information  thus obtained should not be used as a substitute for consultation with practicing medical or scientific or other professionals.